|
琴琴怀孕5个月了,可是最近一次孕检的时候,医生告诉她肚子里的宝宝没了,全部变成了"小蝌蚪",吓得琴琴话都说不出来了。这是怎么回事呢?
琴琴和老公半年前刚结婚,两个人打算过一过二人世界,一年之后再要孩子。
没想到两个人度完蜜月回来后不久,琴琴就开始频繁呕吐。婆婆告诉她可能怀孕了。既然孩子已经来了,那就是缘分,琴琴也打算留下这个孩子。

得知自己怀孕后,琴琴就辞职了。一天到晚在家躺着什么也不做,生怕自己一不小心伤到了肚子里的孩子。
因为第一次当妈妈,所以琴琴对怀孕的事也不是很懂。婆婆因为琴琴怀孕了更是对她照顾有加,告诉她一些怀孕的注意事项,还叮嘱她千万不要去做什么产检,也别照B超、抽血,这些对孩子的伤害很大。
琴琴觉得婆婆说的很有道理,自己在网上也看到过很多帖子说B超会对孩子带来伤害。
况且婆婆还说自己怀了几个孩子,都没有做检查,每一个都健健康康的。琴琴更加听信了婆婆的话。

就这样,琴琴怀孕5个月了,一直没有去做产检。不过让琴琴觉得奇怪的是,她完全感觉不到自己是个孕妇,更没有感觉有孩子在自己肚子里动。
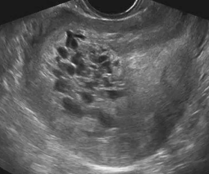
直到有一天,琴琴突然剧痛难忍,还出了血,才被家人紧急送到了医院。没想到检查的结果却所有人都惊呆了,医生说琴琴的肚子里根本看不到宝宝,只能看到一些"小蝌蚪"。
琴琴简直不敢相信自己听到的一切,自己这5个月明明已经停经了,还有孕吐反应,肚子也长大了很多,为什么肚子里没有孩子呢?
医生问琴琴上次产检是什么时候,琴琴说她根本就没有做过产检,医生大骂琴琴糊涂,对孩子不负责,连产检都不做。

医生说,琴琴这种情况是属于葡萄胎,是受精卵异常导致的。如今只剩下一些长得像葡萄和小蝌蚪一样的细胞。如果在50天左右做产检是可以检查出来的。但是琴琴这几个月来一直没有做检查,胎儿早就死亡了。
而琴琴自己能活到现在已经非常幸运了。因为葡萄胎不仅会让胎儿百分百死亡,对孕妇的生命也有威胁。葡萄胎在孕妇体内的时间越长,孕妇就越危险。
最后,琴琴在医院接受了手术。
孩子没了,自己也差点丢了性命,琴琴恨透了婆婆,也恨透了自己的无知。

一旦发现这些异常妊娠症状,一定要立即就诊!当然最重要的是定期定时的做好产检。
|