|
“取出来了!树枝全部取出来了!”
2019年4月23日,手术室里,一根长达5厘米的树枝被医生从8岁小男孩小李的口中取出。如果不是亲眼所见,很难想象这根树枝竟然已经在孩子咽部深藏超过两年。
广州日报全媒体记者4月26日从中山大学孙逸仙纪念医院口腔颌面外科获悉,手术前,这根树枝已在孩子体内腐烂,随时可能导致出血并阻塞呼吸道,如同一颗随时可能威胁他生命的“不定时炸弹”,处理起来十分棘手。

该树枝在男孩体内2年,已腐烂发黑
六龄童骑车摔倒 树枝插入下巴
两年前,家在湖南衡阳的6岁男孩小李在骑自行车玩耍的时候不小心摔倒,被地面上的一根树枝插入右半边下巴。小李的父母立即将他送入当地县医院救治。
不幸的是,由于由于当地医院水平有限加上树枝的插入部位较深,当地医生只取出了暴露在孩子下巴外面的树枝断端。手术后,小李下颌的手术切口流脓不止,随后伤口很快愈合。戳在里面的一截树枝就这样越“埋”越深,不仅无法取出,还影响孩子的张口进食和正常呼吸。
这两年来,残留的树枝在小李的咽旁形成了一个异物感染源,导致小李的右侧咽旁、颊部不断发炎。随着时间的推移,小李的右侧面颊部渐渐肿胀起来,嘴巴慢慢越张越小,直到后来小李只能喝流质食物,身体也日渐消瘦。
小李的父母带他多次求医于各大医院无果,慕名来到广州中山大学孙逸仙纪念医院。
树枝威胁气道 吃饭都很难
“孩子来到医院时,右脸肿胀明显,颜面发育也不对称,张口很困难。”主治医黄志权教授回忆道,由于吃饭咀嚼都成为“高难度动作”,孩子身体瘦弱,严重营养不良。

小患者入院时右脸肿胀明显,从外表看很难想到内藏异物
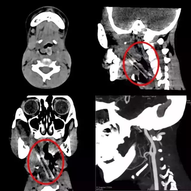
单从外表看,很难联想到内藏巨大异物。CT检查结果一出来,所有医生不禁倒吸一口气:“很少见到这样的情形!”

CT检查图片可见树枝位置
原来,检查结果显示,长达5厘米的树枝从小李右侧咽旁延续至左侧梨状窝,这个粗大的树枝随时影响到旁边狭窄气道的通气与进食。
“没想到如此大的树枝,竟然能够在小李的体内存留两年之久。”情况复杂棘手,黄志权教授马上联系医院放射科李勇教授、麻醉科林道炜副教授和耳鼻喉科陈仁辉医生进行多学科会诊,商讨诊治方案。
由于残留的树枝位置较深,从小李咽旁间隙跨过会厌,一直插入左侧咽旁间隙。这样一个“野蛮”的树枝随时会导致出血阻塞呼吸道,处理起来十分棘手。
各位专家经过反复讨论,制定了两套手术方案。首选方案是尝试在支纤镜下进行插管术,完成麻醉后再利用支撑喉镜取出树枝。这套方案的优点是创伤非常小,在颌面部不留下疤痕,但是所面临的难题就是小李年纪太小,不能配合医生张大口以进行手术。
为防万一,专家们又商定了一个备选方案:切开气管后由颌下入路取出树枝。这个方案保证了小李体内的树枝取出,但缺点是创伤大,而且遗留手术疤痕。
手术遇困难 树枝在体内发黑腐烂 一夹就碎
2019年4月23日上午10点,小李被推进手术室。由于小李张口严重受限,林道炜副教授在支纤镜下,稳定而快速地将经鼻气管插管侧方通过会厌处的树枝异物,为小李进行麻醉,也为手术的开展提供了稳定的保障。

林道炜副教授(左)正在进行术前插管麻醉,陈仁辉医生(中)和黄志权教授(右)密切关注
由于小李的张口受限,如何安放支撑喉镜成了一个棘手的问题。黄志权教授和陈仁辉医师的商量后,决定利用单边开口器最大限度的打开口腔,为小李安放支撑喉镜。
然而,新的问题又出现了。在纤维镜下多次探查,一开始仅看到树枝皮和树枝尖端部分露出,而且由于树枝在体内停留时间过长,腐烂后一夹就碎,十分考验手术者的经验和技术。

“小心夹出这一小段易碎的树枝块后,我们发现下方树枝块直径更粗,难以夹持。”黄志权教授介绍,手术团队最后决定启用食道异物钳,一把夹出树枝异物。那一刻所有人都仿佛屏住了呼吸,眼睛紧盯着纤维镜的显示屏。大约1分钟后,当直径达1厘米、长度达5厘米的大块树枝异物终于被取出时,大家长舒一口气。胜利在望,各位专家沉下心来再次检查,确保没有树枝残片存留。

取出的树枝小碎片
“手术非常顺利,仅仅用时20分钟就完成。手术成功避免了气管切开和口外切口,极大减少了小朋友的痛苦!”同时,黄志权教授提醒,家长要提高防范意识,如果孩子因为外伤有异物进入体内,应该到医院进行规范治疗,务必保证彻底取出异物,以免残留异物导致不良后果。
来源:广州日报
新媒体编辑 陈锦芳
|